非典型慢性髓系白血病(aCML)是一种预后不良的骨髓增殖性肿瘤,其进展为急性髓系白血病(AML)的风险显著。由于其临床特征的异质性、缺乏独特的生物标志物,以及有限的治疗选择,目前缺乏标准化的治疗方案。本期回顾了1例被诊断为aCML的年轻男性患者,该患者在接受维奈克拉和阿扎胞苷联合治疗方案后达到了完全临床和血液学缓解。
01病例介绍
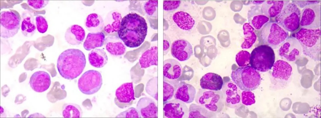
患者男,41岁,因"腹胀1个月"就诊于血液科。血常规示高白细胞(WBC)计数210.74×109/L,低血红蛋白(Hb)水平68g/L,低血小板(PLT)计数17×109/L。人工分类显示白细胞分布明显异常:95%中性粒细胞(11%分叶中性粒细胞,12%带状中性粒细胞,27%间叶粒细胞,44%髓细胞,1%早幼粒细胞),1%单核细胞,2%原始细胞和2%淋巴细胞。体检提示肝脾肿大。骨髓(BM)检查和穿刺活检显示细胞增生,髓系明显扩增,原始及早幼粒细胞占7.5%(图1)。这些粒细胞主要表现为不同的发育阶段,包括中期、晚期和杆状细胞,细胞核形态不平衡,胞质颗粒减少或缺失。流式细胞术检测发现CD34+CD117+CD38dimHLA-DRdimCD13+CD33+CD11B-CD15-CD64-CD56-CD7-为异常髓系原始细胞表型,占有核细胞的1.63%。染色体核型正常,初始BCR/ABL1重排以及CSF3R、JAK2V617F、CARL和MPL突变的分子分析未发现任何遗传学异常。下一步,利用髓系增殖性肿瘤测序Panel对诊断性骨髓样本进行了NGS分析,该分析覆盖了77个已知在髓系恶性肿瘤中频繁突变的基因,发现了ASXL(p.Y591*,VAF 47.9%)、CEBPA(p.Y591*,VAF 47.9%)、vKRAS(p.A146T,VAF 21.1%),NRAS(p.G12R,VAF 21.4%),和STAG2(p.L351Tfs*6, VAF 73.9%)的致病变体(临床特征见表1)。

图1
表1

aCML的诊断符合2022年WHO aCML诊断标准。由于缺乏aCML的标准化治疗方案,建议对干细胞移植进行全面评估,但最终被患者拒绝。为缓解白细胞增多,降低血液黏稠度,改善微循环,行白细胞去除术。考虑到患者的临床表现与典型CML惊人相似,患者最初开始接受羟基脲和伊马替尼治疗,并同时接受伊马替尼评估。然而,BCR/ABL1重排结果呈阴性,伊马替尼停止给药。随后,患者接受了3个周期的阿糖胞苷和阿扎胞苷5日方案治疗。但外周血、骨髓及肝脾肿大较发病初期无明显改善,颈部淋巴结肿大,病情控制欠佳。由于患者的血细胞计数恶化,且可供选择的治疗方案有限,因此我们启动了维奈克拉(每日400mg,治疗21日)和阿扎胞苷(每日100mg,治疗7日)联合治疗。在联合治疗1个月后,患者的血细胞计数(图2)、骨髓、颈部淋巴结肿大和肝脾肿大迅速出现临床改善。随后继续接受相同的联合治疗,每月1次。治疗8个月后复查骨髓涂片示增生活跃,未见原始及早幼粒细胞,免疫残留阴性。在治疗10个月后的最后一次随访中,患者继续保持临床完全缓解。

图2
02讨论
aCML是一种罕见疾病,国内外均缺乏标准的治疗方法。当患者出现进行性白细胞增多、贫血、血小板减少、脾肿大或其他疾病相关症状时,应及时治疗。对于有合适供者的年轻患者,建议首选异基因造血干细胞移植(allo-HSCT)。然而,移植的最佳时机目前仍存在争议。鉴于aCML与其他慢性髓系疾病有许多相似之处,其治疗策略可参考骨髓增生异常综合征(MDS)或骨髓增殖性肿瘤(MPN)。这可能包括使用羟基脲或干扰素等药物来减轻肿瘤负荷和减轻脾大相关症状。遗憾的是,这些干预措施往往效果不佳,尤其是在疾病晚期。基于去甲基化药物如地西他滨或阿扎胞苷在慢性粒-单核细胞白血病(CMML)中良好的疗效,一些研究尝试将这些药物用于aCML的治疗。迄今为止,有报道单药地西他滨治疗aCML的完全缓解(CR)率可达40%。但长期生存获益仍需更大样本的分析和更长时间的随访观察来证实。白细胞计数明显升高,合并贫血、血小板减少和脾大,提示治疗的必要性,但缺乏移植的经济条件,加用羟基脲减少白细胞的效果有限。为了减缓疾病进展并改善患者生存,决定给予阿扎胞苷诱导治疗。
随着分子诊断技术的不断发展,aCML中突变基因的检测越来越多,这使得人们对该疾病有了更深入的认识,对其治疗具有重要意义。一些临床报告显示,芦可替尼可以改善aCML患者的预后。然而,对于出现贫血和血小板减少并且CSF3R或JAK2基因无突变的这例患者,不考虑使用芦可替尼。BCL-2是线粒体凋亡途径的关键调节因子,在许多血液系统恶性肿瘤中过度表达,尤其是在白血病干细胞中。BCL-2的过度表达已被证明可降低AML细胞的存活率,并与化疗耐药相关。维奈克拉作为BH3类似物,可模拟仅BH3促凋亡蛋白与BCL-2家族抗凋亡蛋白BH3结构域选择性结合,有效抑制BCL-2,影响线粒体外膜通透性,导致凋亡快速启动。体外研究表明,维奈克拉可增加AML细胞对去甲基化药物的敏感性。此外,去甲基化药物可以降低抗凋亡蛋白MCL-1的水平,并延缓维奈克拉耐药的出现。因此,给予患者阿扎胞苷联合BCL-2抑制剂维奈克拉治疗,患者获得CR,至随访截止时间较早MRD转阴,患者生存时间为10个月,预后明显改善。尽管联合维奈克拉和阿扎胞苷的治疗方案可促进患者达到临床和血液学完全缓解,但长期获益未知,因此也应尽早启动allo-HSCT,以获得长期生存。
03总结
aCML诊断困难,临床上仅形态学改变即可造成一定的漏诊。随着分子生物学技术的不断进步,MDS/MPN相关分子标志物的检测不断涌现,从而丰富了我们对aCML的认识。患者41岁,无移植条件,阿扎胞苷联合维奈克拉治疗后临床疗效显著,具有良好的血液学和分子学缓解,安全性高。但远期疗效仍需进一步随访和评估。