急性淋巴细胞性白血病(ALL)

[骨髓象]
(1)增生极度活跃或明显活跃。
(2)淋巴细胞系过度增少,以原始及幼稚淋巴细胞为主。原、幼淋巴细胞形态异常,基本特征为核大浆少。易见核分裂象,易见篮状细胞,胞浆中无Auer小体。
(3)粒细胞系及红细胞系均受抑制,各阶段细胞明显减少。
(4)巨核细胞系受抑制,巨核细胞明显减少或缺如。
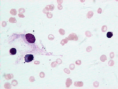
急性淋巴细胞性白血病(ALL)

[骨髓象]
(1)增生极度活跃或明显活跃。
(2)淋巴细胞系过度增少,以原始及幼稚淋巴细胞为主。原、幼淋巴细胞形态异常,基本特征为核大浆少。易见核分裂象,易见篮状细胞,胞浆中无Auer小体。
(3)粒细胞系及红细胞系均受抑制,各阶段细胞明显减少。
(4)巨核细胞系受抑制,巨核细胞明显减少或缺如。